E-Max Crowns in Hyderabad: The Secret to a "Celebrity Smile" (2026 Guide)
"Want a celebrity smile? Discover why E-Max Crowns are the top choice for veneers and smile makeovers in Hyderabad. Compare costs, durability, and esthetics in our 2026 Guide."
E.MAX VENEERS & CROWNS
Dr. Dhirender J
1/27/20262 min read


Why E-Max Crowns Are the Gold Standard for Smile Makeovers
Have you ever looked at a movie star's smile and wondered, "How do their teeth look so perfect, yet so natural?"
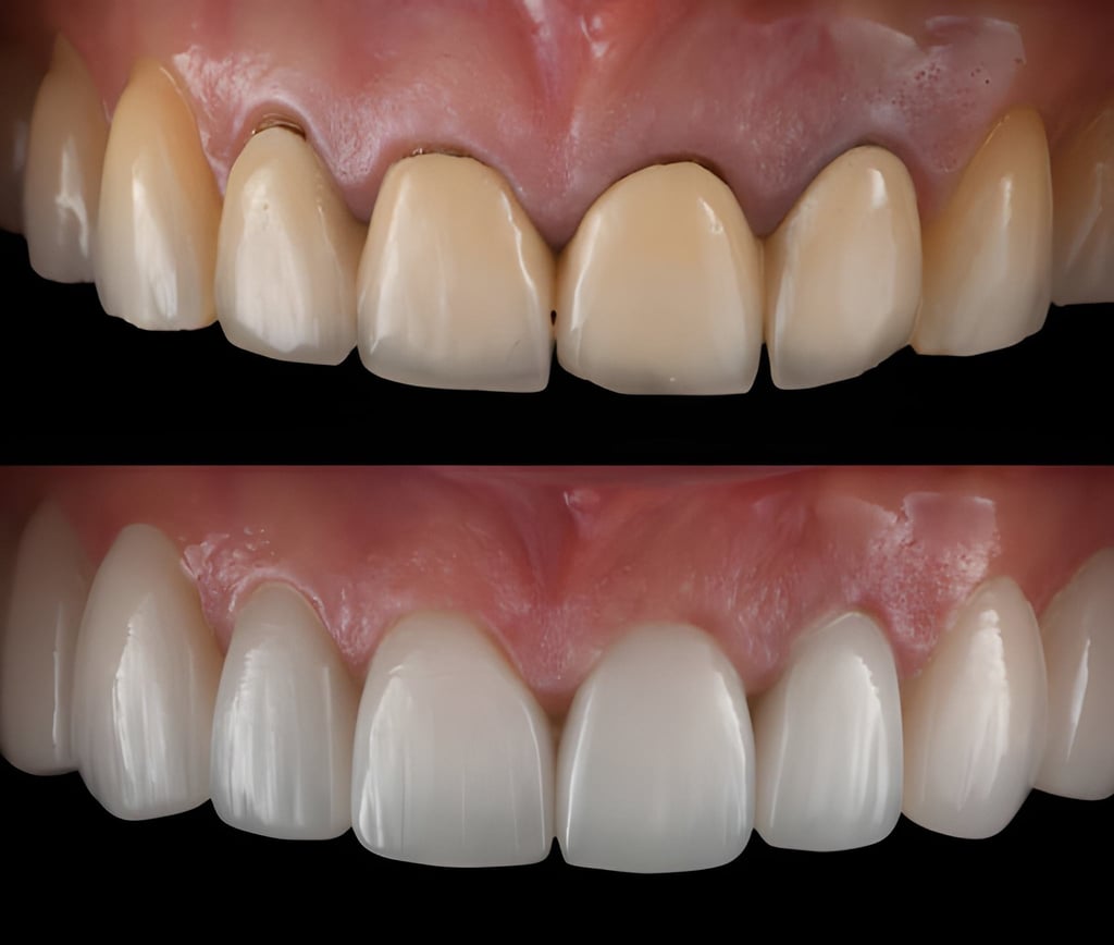
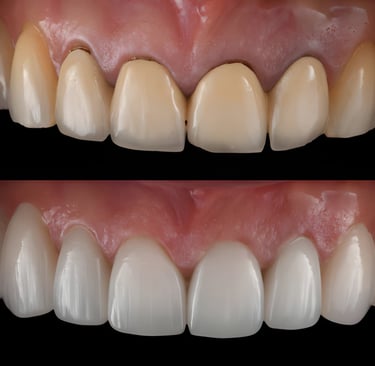
The secret isn't just "whitening." It is usually Lithium Disilicate, better known as E-Max.
At Olīva Dental, we see many patients who are unhappy with their old dental caps. They often complain about a "black line" near the gums or a dull, opaque look that screams "fake tooth."
If you are looking for a smile makeover in Hyderabad that is indistinguishable from natural enamel, E-Max is the superior choice. This guide explains why these crowns are the #1 choice for esthetic dentistry in 2026.
The "Material Battle": Which Crown is Right for You?
Comparing the three most common options available in Hyderabad today.
(See Comparison Table Below)
1. What is an E-Max Crown?
Unlike traditional crowns that use metal fused to porcelain (PFM), E-Max is an all-ceramic material made from Lithium Disilicate. It is harvested for its translucency.
Natural teeth are not solid white blocks; they are slightly translucent, allowing light to pass through them. E-Max mimics this property perfectly. When we place an E-Max veneer or crown, it blends so seamlessly with your neighboring teeth that even dentists have trouble telling them apart!
2. E-Max vs. Zirconia: The Common Confusion
Patients often ask us: "Doctor, isn't Zirconia the strongest?"
Zirconia is like "White Steel." It is incredibly strong and virtually unbreakable. We recommend it for back teeth (molars) where chewing force is high.
E-Max is like "Toughened Glass." It is strong, but its main superpower is beauty. We recommend it for front teeth (smile zone) where aesthetics matter most.
3. The Cost of E-Max Crowns in Hyderabad (2026)
Esthetic dentistry is an art form. The cost depends not just on the material, but on the skill of the Prosthodontist and the lab technician shaping the tooth.
Metal-Ceramic (PFM): ₹8,000 – ₹12,000 (Functional, but less aesthetic)
Standard Zirconia: ₹12,000 – ₹18,000 (Strong, good for back teeth)
E-Max / Esthetic Veneers: ₹18,000 – ₹25,000 per unit
> Why the premium? E-Max requires a specialized bonding protocol. Unlike metal caps that are just "cemented" on, E-Max crowns are chemically "bonded" to your tooth, making them a unified part of your dental structure.
4. The Olīva Difference: Digital Smile Design (DSD)
We don't just "guess" what your new smile will look like. At Olīva Dental, Dr. Dhirender J uses Digital Smile Design. We take photos and scans of your face, and digitally plan your new smile before we even touch your teeth. You can see the "After" photo before we start the "Before" treatment.
Ready for Your Transformation?
Whether you have a chipped front tooth, a gap you hate, or old discolored crowns, E-Max can restore your confidence.






